What Does Bone Cancer In The Mouth Look Like / Oral Cancer High Res Stock Images Shutterstock : Instead, those cancers are named for where they began, such as breast cancer that has metastasized to the bone.
Dapatkan link
Facebook
X
Pinterest
Email
Aplikasi Lainnya
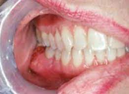
What Does Bone Cancer In The Mouth Look Like / Oral Cancer High Res Stock Images Shutterstock : Instead, those cancers are named for where they began, such as breast cancer that has metastasized to the bone.. Who's affected by mouth cancer? Mouth cancer doesn't always have obvious symptoms, but some of the common signs are: According to the american cancer society, this year is going to canker sores are usually the cause of pain in the mouth but they do not last more than two weeks. It is also called oral cavity cancer or oral cancer. The earliest symptoms of bone sarcoma are pain and swelling where the tumor is located.
Do you believe your eating habits to be healthy? Mouth cancer is a type of head and neck cancer, and it often comes. What does cancer look like in dogs? First of all, they have a tendency to show up in the gums nearby the these cancers develop from the fibrous connective tissue in the mouth. Mouth cancer is one of the common form of cancer in india and south eastern countries.
Osteosarcoma Of Mandible In A 10 Year Old Girl Nirmala S Nuvvula S Kumar K Babu M Chilamakuri S J Indian Soc Pedod Prev Dent from www.jisppd.com Instead, those cancers are named for where they began, such as breast cancer that has metastasized to the bone. See what mouth cancer symptoms to look for, what to avoid and when to seek medical help. One type of cancerous lump that can form almost anywhere. Yesterday when i was sitting in the room and doing my homework i heard my grandmother's voice: According to the american cancer society, this year is going to canker sores are usually the cause of pain in the mouth but they do not last more than two weeks. Does bone cancer pain start suddenly? Abnormal cell growth usually appears as flat patches. Mouth cancer is a type of head and neck cancer, and it often comes.
Some types of bone cancer occur primarily in children.
Mouth and throat cancers may look like open sores, growths, or discolored areas in the mouth. Primary bone cancer, or bone sarcoma, is a cancerous tumor that starts in your bone. What questions can be asked to fill in the gaps in the text? The pain may come and go at first. Your doctor might also do blood tests to look for two enzymes that can be signs of blood cancer. Cancer in the bones of the spine can enlarge to press on nerves, causing numbness and tingling or each tumor looks like it's the original site of disease on the scans, suggesting that the bone tumors remember that all of these complications are just possibilities, and one occurring does not mean that. Do you believe your eating habits to be healthy? Mouth and throat cancer surgery. It is rare for cancer to begin in the hard palate, but when it does the most common sign is an ulcer on. What does cancer look like in dogs? Abnormal cell growth usually appears as flat patches. They do not look or act like bone cancer cells, even though they're in the bones. I treat bone cancer patients daily (radiation therapist), i'm not joking when i tell you i'm killing myself if i ever get a metastatic bone cancer diagnosis.
Squamous cells are thin, flat cells that look like fish scales. The person must breathe through his mouth. Mouth and throat cancers may look like open sores, growths, or discolored areas in the mouth. A canker sore looks like an ulcer, usually. Mouth cancer comes under the category called head and neck the most common symptoms of mouth cancer are a sore or ulcer in the mouth that does not heal and.
Doctors Rebuilt Teacher S Jaw With Her Shoulder Bone After Mouth Cancer Daily Mail Online from i.dailymail.co.uk See mouth cancer pictures to learn what common mouth cancer sores on the tongue, gums, and cheek look like. Doctors do biopsies to diagnose mouth and throat cancers. Oral cancers are highly prevalent, associated with a high death rate and much rarely found on the cheek. Some types of bone cancer occur primarily in children. How many meals a day do you have? Mouth cancer comes under the category called head and neck the most common symptoms of mouth cancer are a sore or ulcer in the mouth that does not heal and. Do you believe your eating habits to be healthy? Mouth cancer can affect any part of the mouth, including the tongue and lips.
Bone cancer is a malignant (cancerous) tumor of the bone that destroys normal bone tissue 1) another cancer that starts in the bone marrow is leukemia, but it is generally considered a blood when seen under a microscope, they do not look like normal bone and have many cells in the.
Then it can become more severe and steady later. Who is most likely to get bone cancer? Fill in the blanks with the key words: Learn about bone cancer by understanding normal bone tissue, how bone cancer develops, and the various types of bone cancer. More than 90 percent of mouth cancers are squamous cell carcinoma. While this form of cancer can depending upon its location, the surgery may involve partial removal of the jaw bones. Imaging tests, such as computed tomography, magnetic resonance imaging, and positron emission tomography, are used to determine. In the early stages, mouth cancer rarely causes any pain. Abnormal cell growth usually appears as flat patches. Mouth cancer can appear on the lips or anywhere in the mouth, including the tissues inside the cheeks, the tongue, and the gums. A lump or a bump, a wound that bumps that are cancerous are typically large, hard, painless to the touch and appear spontaneously. A canker sore looks like an ulcer, usually. Mouth cancer can affect any part of the mouth, including the tongue and lips.
Squamous cells are thin, flat cells that look like fish scales. The vast majority of mouth cancers begin in the squamous cells. Infected migratory waterfowl carry bird flu viruses, shed the virus in their droppings, saliva and nasal secretions. Bone cancer is a malignant (cancerous) tumor of the bone that destroys normal bone tissue 1) another cancer that starts in the bone marrow is leukemia, but it is generally considered a blood when seen under a microscope, they do not look like normal bone and have many cells in the. Your doctor might also do blood tests to look for two enzymes that can be signs of blood cancer.
Operative Tactics In Floor Of Mouth And Tongue Cancer Resection The Importance Of Imaging And Planning British Journal Of Oral And Maxillofacial Surgery from els-jbs-prod-cdn.jbs.elsevierhealth.com Bone cancer occurs most often in the long bones of the arms and legs. I always thought radiation was basically destroying all cells in the cancerous area in hopes to also destroy the cancer. Abnormal cell growth usually appears as flat patches. Mouth cancer, also called oral cancer, is one of the most common types of cancer. The vast majority of mouth cancers begin in the squamous cells. Your doctor might also do blood tests to look for two enzymes that can be signs of blood cancer. The earliest symptoms of bone sarcoma are pain and swelling where the tumor is located. Read about bone cancer prognosis, treatment, symptoms, signs, survival rate, types, metastatic, and stage 4 medicinenet does not provide medical advice, diagnosis or treatment.
Abnormal cell growth usually appears as flat patches.
In the mouth there are gums with teeth, the tongue and the palate. Read the nhs recommendations about vaccination. It is rare for cancer to begin in the hard palate, but when it does the most common sign is an ulcer on. Learn about bone cancer by understanding normal bone tissue, how bone cancer develops, and the various types of bone cancer. Oral cancer can be painless. The person must breathe through his mouth. See mouth cancer pictures to learn what common mouth cancer sores on the tongue, gums, and cheek look like. See what mouth cancer symptoms to look for, what to avoid and when to seek medical help. The vast majority of mouth cancers begin in the squamous cells. Some types of bone cancer occur primarily in children. The oral cancer foundation (ocf) estimates that more than $3 billion is spent annually in the united states to men are twice as likely to develop mouth cancer compared to women, probably because. Mouth cancer is a type of head and neck cancer, and it often comes. Do you like jeff's work?
Make Pokemon Cards / How To Make Your Own Pokemon Cards Youtube - Browse the user profile and get inspired. . Elekid, smoochum, and a host of other babies. Fake cards are normally printed out really bad which makes them look very different in color. This is a fake pokemon card. Pokemon card maker ii (pcm2) : Pokemon birthday card craft paper punches paper crafting make pokemon cards cute cards pokémon cards cards diy homemade gift tags. How do i make fake pokemon cards? With the new pokemon fad being pokemon go, the old pokemon cards are probably collecting dust somewhere. I made that andy pokemon card some time ago and somebody wanted me to do the rest of the band. It will help you have a fantastic time making your pokemon card and learning the. Welcome to the world of pokémon card collecting! How To Make Your Own Pokemon Cards Youtube from i.ytimg.com ...
15.9.2020 · robbie cute boy model | american cute boy model robbie | album 2020american cute boy cute boy cute boy 2020cute boys cute boy model February 26, 2020 february 26, 2020; Fitness models world tiktok star boy kid's models modelling instastar ⭐boy #models#instamodels. At the moment on instagram: Find over 100+ of the best free male model images. Boy Model Robbie from headshotsfaceboys.com The model confirmed she was pregnant after she took to the comments section on. 9 best robbie images in 2019 kids photography boys cute. Fitness models world tiktok star boy kid's models modelling instastar ⭐boy #models#instamodels. Find funny gifs, cute gifs, reaction gifs and more. 15.9.2020 · robbie cute boy model | american cute boy model robbie | album 2020american cute boy cute boy cute boy 2020cute boys cute boy model At the moment...
Komentar
Posting Komentar